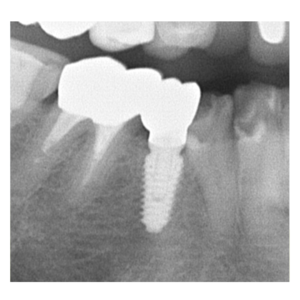
インプラント治療の症例
インプラント治療の症例です。
| 主訴 |
歯がないのが気になる |
| 年齢 |
58歳 女性 |
| 治療期間 |
4ヶ月 |
|
治療費(インプラント手術費) |
¥350,000(税別) |
| リスクと注意点 |
腫れ・痛み・神経損傷・インプラント周囲炎・骨吸収 など |
のびのび歯科・矯正歯科:https://implant-japan.com/
〒146-0095 東京都大田区多摩川1-33-24
電話:03-6715-2677
交通アクセス
電車でお越しの方:矢口渡駅徒歩3分 蒲田駅徒歩20分
