-
-
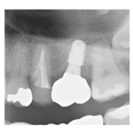
治療途中のインプラント症例
2025/12/25 症例集
治療途中のインプラント症例です。 主訴 歯がグラグラして揺れる 年齢 52歳 男 ...
-
-
治療途中のインプラント症例
2025/12/25 症例集
治療途中のインプラント症例です。 主訴 歯がない部分の見た目を自然にしたい 年齢 ...
-
-
治療途中のインプラント症例
2025/12/25 症例集
治療途中のインプラント症例です。 主訴 しっかり噛めるようにしたい 年齢 60歳 ...
-
-
インプラント治療の症例
2025/12/25 症例集
インプラント治療の症例です。 主訴 見た目を改善したい 年齢 49歳 男性 治療 ...
-
-
治療途中のインプラント症例
2025/12/25 症例集
治療途中のインプラント症例です。 主訴 見た目を自然にしたい 年齢 53歳 男性 ...
-
-
治療途中のインプラント症例
2025/12/25 症例集
治療途中のインプラント症例です。 主訴 しっかり噛めるようになりたい 年齢 57 ...
-
-
インプラント治療の症例
2025/12/25 症例集
インプラント治療の症例です。 主訴 見た目を改善したい 年齢 58歳 女性 治療 ...
